Министерство здравоохранения РС(Я), совместно с Управлением Роспотребнадзора по Якутии, держит на контроле сложившуюся ситуацию в двух населенных пунктах республики, где выявлены случаи открытой формы туберкулеза. Все диагностические и противоэпидемические меры проводятся.
29 июля в Усть-Майскую ЦРБ был доставлен мужчина с признаками туберкулеза для диагностических мероприятий. Установлено, что больной приехал на заработки вахтовым методом с Хабаровского края и вызвал подозрение у коллег по причине наличия у него в течение длительного периода времени кашля с примесью крови. При устройстве на работу у прибывшего вахтовика имелась справка о прохождении ФЛГ с отрицательным результатом.
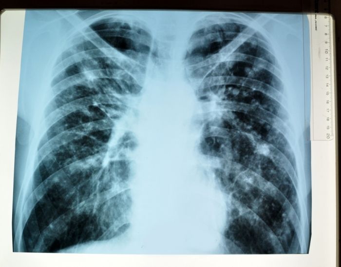
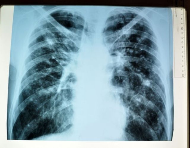
После проведенного необходимого объема лабораторно-инструментальных обследований мужчине был установлен предварительный диагноз "туберкулез с бактериовыделением", впоследствии подтвердившийся 5 августа.
В настоящее время больной госпитализирован в специализированное лечебное учреждение - НПЦ "Фтизиатрия".
В сформировавшемся в Усть-Майском районе очаге туберкулеза ведутся противоэпидемические мероприятия, направленные на его ликвидацию и пресечение дальнейшего распространения инфекции: проведена заключительная дезинфекция по месту проживания и работы больного, обследуются контактировавшие с ним лица.
В городском округе Жатай за период с апреля по май месяц текущего года выявлено шесть случаев заболевания туберкулезом. У всех больных диагностирована запущенная форма заболевания, в том числе у пяти лиц - с бактериовыделением. В данное время все выявленные лица получают лечение в стационаре профильного лечебного учреждения, сообщается на сайте пресс-службы Министерства здравоохранения РС(Я).





